甘孜藏族自治州石渠县位于四川省西北部,地处青藏高原山区,与青海、西藏交界,是四川最高、距省会成都最远的县,交通较为不便,医疗资源较为匮乏。2013年以来,成都大学临床医学院、附属医院对口支援队伍就扎根于此,他们以精湛的医术、高尚的医德、坚定的信心,为石渠县与成大附院建起一座深厚友谊的桥梁,为石渠县人民的健康保驾护航。
耄耋老人跌倒,千里转诊立功劳
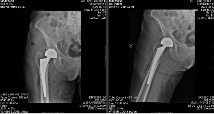
2024年9月2日这天,地处高原的石渠已有了丝丝凉意,成大附院“组团式”帮扶石渠县人民医院医疗队的骨科主治医师徐锴接诊了一位84岁藏族老人,1天前在家中摔倒后不能站立,X片提示为右侧股骨颈骨折(Garden III型)。经充分评估病情后,考虑石渠县医疗条件有限,无法保障患者手术期生命安全,徐锴遂与远在千里之外的成大附院本部骨科主任医师员晋联系,说明老人情况后,作为金牛区政协委员、医卫界召集人的员晋主任医师当即为该患者联系转诊事宜,为患者的后续治疗积极准备。石渠医疗条件欠缺,所幸石渠县人民医院与成大附院建立了快速响应转诊机制,为患者得到有效治疗争取了宝贵时间,为患者的后期恢复创造了良好条件。

MDT多学科会诊治疗为围手术期保驾护航
积极快速的转诊为患者争取到了宝贵的治疗时间,而成大附院拥有丰富临床经验的MDT团队则为患者围手术期的安全保驾护航。由于患者高龄,且患有复杂、严重的基础疾病,辅助检查提示其患有严重的心脏病、肺动脉高压、肝肾功能衰竭、凝血功能障碍、血小板减少症等疾病,若无法让其早期恢复行动能力,老人短期内的健康情况可能会十分糟糕。
患者入院后,骨科员晋主任医师团队何嘉尧、周浩、李济渊医师各司其职,迅速评估患者病情并积极治疗,启动院内MDT多学科会诊,由麻醉手术中心、心血管内科、呼吸与危重症医学科、感染性疾病科、重症医学中心、肝胆外科、消化内科、肾病风湿免疫科、临床营养科等专家对患者病情充分评估后,建立起一整套完整的针对该患者的围手术期管理方案。在予以保肝、护肾、利尿、抗凝、抗感染、调节电解质平衡、营养支持等多维度处理后,患者病情趋于稳定,择期为患者行右侧人工髋关节置换手术。
ERAS理念贯穿治疗全程加速患者康复
手术方案与患者及家属进行了耐心详细的沟通讲解并取得患者及家属的同意。具有数十年关节手术经验的“金牛工匠”员晋主任医师团队凭借娴熟的技艺和丰富的经验,顺利完成了手术。术后患者恢复情况良好,避免了长期卧床可能带来的并发症。

手术成功后,护理团队继续为患者提供精心的术后护理。为了减轻患者疼痛,细心地调整止痛药物的剂量,并指导患者进行术后康复锻炼,帮助其尽早下地行走。通过科学的康复训练,患者很快恢复了行走能力,避免了长期卧床带来的肺部感染、尿路感染、褥疮等并发症,大大提升了患者生活质量。
员晋主任医师十多年来深入藏区,研究藏族的文化和风俗习惯,深耕骨科围手术期加速康复,通过医院多学科MDT团队的支持,为高龄老人(最大104岁)和上百例藏族同胞成功完成人工关节置换、骨折修复、运动医学疾病诊治等,取得了良好的效果。
员晋主任医师了解到患者长期进食糌粑的饮食习惯,高盐低钾低维生素低蛋白的营养结构,在尊重患者饮食习俗的情况下,将蛋白粉等营养物加入糌粑中,增加饮食营养,及时纠正了患者低营养低蛋白低钾状态。员晋主任担心患者及家属因语言障碍对周围环境不适应,每次查房都悉心问候,总是花更多时间驻足拉家常,通过患者孙女的翻译来鼓励患者及家属。多处针对患者及家属的服务细节让患者本人倍感温暖,让家属对于治疗充满信心,建立了良好的医患沟通及医患关系,术后患者也恢复良好,实现了早日下地,患者多次对员晋主任医师团队竖起大拇指。
